改善科技创新生态、激发创新创造活力。2019年1月17日,习近平总书记在视察我院与元素有机化学研究所时,他非常关心基础科研和技术研究现状,鼓励师生进一步进行自主创新,将“小我”融入“大我”,实现自身价值,为祖国科研的进一步发展做出贡献。
秉承习总书记指示精神,我院陈悦教授课题组的全球原创候选新药ACT001,就是“志存高远、脚踏实地”的案例。ACT001针对恶性胶质瘤这个世界医学难题,其临床试验结果由中外医生先后公布于美国临床肿瘤学会ASCO与神经肿瘤学会SNO。在ASCO会议中,澳洲医生Jason Lickliter和天津肿瘤医院王平教授以墙报的形式分别介绍了ACT001治疗复发胶质母细胞瘤(GBM)的中外临床试验结果(https://meetinglibrary.asco.org/record/196587/abstract)
(https://meetinglibrary.asco.org/record/196574/abstract)
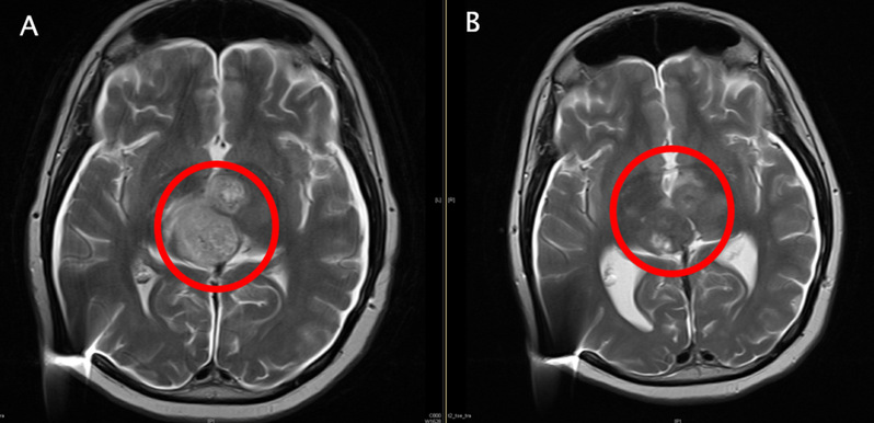
新南威尔士大学儿童癌症中心的David Ziegler团队在SNO会议中以讲座报告介绍了ACT001治疗儿童弥漫性内生性脑桥胶质瘤(DIPG)的临床试验结果(https://app.oxfordabstracts.com/events/1809/program-app/submission/233921)。DIPG属于儿童脑干肿瘤,手术无法切除,没有获批的标准治疗药物,中位生存期不到1年,长期生存率不足1%,是最难治的恶性肿瘤之一。SNO会议报道了通过超高剂量的ACT001治疗,多位DIPG患儿身上出现良好的临床反应,其中一位患者的肿瘤细胞密度大幅降低,临床症状评分(KPS评分)从50提升到90(见下图,A为基线MRI)。

来源:药渡
针对“癌王”脑胶质瘤,新型免疫调节剂ACT001展示巨大潜力
而GBM在WHO评级为IV级,是恶性程度很高的颅内胶质瘤,该疾病的复发率高,中位生存期不到2年,长期生存率约为4%,美国总统拜登的长子死于该疾病。目前,治疗GBM的标准药物只有替莫唑胺(TMZ),但其只能延长患者中位生存期2.5个月。在成人的复发GBM中,Lickliter教授报道了免疫调节剂ACT001优异的安全性,以及长期生存的病例:一位澳洲复发GBM患者,于2017年3月入组澳洲临床试验,入组时的瘤体大小接近4厘米, 经过ACT001单药长期治疗,2018年10月达到完全缓解。截止至今该患者用药时间已经超过了50个月,依然是完全缓解状态。此外,天津肿瘤医院王平教授的研究进一步证实了ACT001通过免疫机制发挥抗癌作用。

针对“癌王”脑胶质瘤,新型免疫调节剂ACT001展示巨大潜力
据我院教授陈悦介绍,ACT001是草药活性物质小白菊内酯的结构优化产物,以小白菊内酯为原料,通过三步化学反应合成而来。而小白菊内酯在西方传统草药feverfew中的含量很低,但是在中国特有植物辛夷树(也叫做山玉兰)中的含量很高,其根皮中的含量高达6%。辛夷是我国的传统中药,辛夷树在我国河南、江苏、安徽、四川等地广泛种植,其中河南南阳的种植面积最大。辛夷树也是我国城市里常见的绿化乔木,每年山区的老百姓挖出辛夷树后,将苗木卖到城市,而留在地里的根往往是废料,有时候老百姓把根当柴火烧。ACT001研发合作企业天津尚德药缘科技股份有限公司每年花大量的资金购买山区林农的柴火—辛夷根,变废为宝,直接增加了山区林农的收入。
陈悦教授还说,ACT001的潜在用途不仅是脑胶质瘤,课题组还发现ACT001能够大幅提高辐射后动物的生存率,现已申请了其放疗保护的用途专利。此外,还有很多科学家陆续发现ACT001在治疗多种炎症、癌症与纤维化方面的用途。目前,ACT001在全球已开展8项临床试验,其中大部分是临床2期,而ACT001临床试验药品的用量也急剧上升,小白菊内酯及辛夷根的需求量也随之大幅增加。合作企业在多地设立辛夷树种植示范基地,推动辛夷树种植产业的发展。
习近平总书记特别重视中药的继承与创新,他今年5月12日在河南省南阳市考察时提出:注重用现代科学解读中医药学原理的创新成果。事实上,2020年权威杂志Journal Natural Products发表的综述文章中统计了1981年~2019年9月间全球批准的小分子药物共计1394个,其中天然产物及其衍生物占比33.6%,包括了著名的青蒿素与紫杉醇等。此外,还有大量的上市药物是根据天然产物药效团设计并通过化学合成完成的。因此,从中药中发现或者提取活性小分子,并进行结构优化,或者以此为基础设计与化学合成候选新药,是具有中国特色、中国优势的新药开发之路,也是中药继承与创新的方式之一。以这种思路研发的原创候选新药ACT001现获得全球20多个国家专利授权,针对世界医学难题,开展了全球临床试验。未来ACT001在全球成功上市,不仅有望惠及全球的患者,体现中国特色的科技创新,也有望促进我国特有绿化药用乔木辛夷树的种植,协力我国贫困山区的扶贫。这些都是积极响应总书记号召的一种体现,值得大力推广。我院将在新校园打造新物质创造前沿科学中心,支持药物化学等学科的发展,促进新药的发现与成果转化。 注:ACT001的学术名称为DMAMCL,是陈悦课题组合成的新结构小分子化合物。到目前为止,吸引了全球大量的医学与生命科学研究者的关注,他们开展了相关的机制与药理研究,发表了大量的科学论文,并获得了科技部与国家自然基金委的多个重点项目与面上项目的支持。ACT001的成果转化,获得了国家十二五、十三五新药创制重大专项资金,以及天津市抗癌重大专项的支持。ACT001的全球临床试验与成果转化,除了合作企业尚德药缘科技股份有限公司全力推动以外,也获得了天津市科技局、外专局、科协等部门的扶持,以及河南洛阳、江苏、内蒙古自治区、安徽、广东等各地各级政府的大力支持。
我要评论 (网友评论仅供其表达个人看法,并不表明本站同意其观点或证实其描述)
全部评论 ( 条)